I calcoli delle vie urinarie del cane costituiscono un problema di rilevante importanza, che può essere la causa di varie sintomatologie: da una banale cistite all’ostruzione del deflusso urinario con gravi conseguenze. Oltre alla conosciuta struvite, nel cane è possibile la formazione di calcoli anche di altra natura come vedremo più avanti. Questi posso alle volte formarsi anche a livello del bacinetto renale oltre che in vescica, andando a provocare infezioni renali (pielonefriti),insufficienza renale o ostruzione del deflusso urinario anche in questo caso.
Contents
Cause
Perché i nostri cani ad oggi soffrono di questa patologia? Le cause non sono ancora chiarissime, ma riunendo vari studi, possiamo riassumerle in:
Predisposizioni di razza:
● Schnauzer nano, Bichon Frisè, Shih Tzu, Barbone
● nano (Calcoli Struvite)
● Yorkshire, Cocker Spaniel, Schnauzer, Bichon Frisè, Shi Tzu (Calcoli
Ossalato)
● Dalmata, Bulldog, Schnauzer, Yorkshire (urati).
● Bulldog, Bassotto, Terranova (Cistina)

Età:
dai dati statistici i calcoli delle vie urinarie in media sono più frequenti sopra i 6 anni di età. In particolare quelli di ossalato di calcio sono più frequenti nel cane anziano
Alimentazione
E’ stato appurato che la dieta può influenzare la composizione dell’urina e che i fattori dietetici svolgono quindi un ruolo significativo nell’aumentare il rischio di formazione di calcoli sia di struvite che di altra natura. Ad esempio nella formazione di calcoli di ossalato di calcio può contribuire un’elevato contenuto proteico e una dieta particolarmente secca. È stato dimostrato che il cibo umido riduce il rischio di formazione sia di calcoli di ossalato di calcio che di struvite nel cane.
Sesso
La formazione di calcoli da ossalato di calcio è piùcomune nel cane maschio, mentre le forme di calcoli da struvite sono più frequenti nelle femmine,probabilmente in relazione alla loro maggiore suscettibilità allo sviluppo di cistiti batteriche (datoche esiste una correlazione tra lo sviluppo di cistiti e la formazione di calcoli di struvite nel cane).Come possiamo vedere, alcune razze sono predisposte sia alla formazione di calcoli di struviteche di ossalato di calcio. In alcuni casi infatti i calcoli sono composti da più strati di entrambe lecomponenti.
Calcoli di struvite
STRUVITE (Triplofosfato di ammonio) :I calcoli di struvite nel cane sono i più frequenti in assoluto. Strettamente legati al PH urinario (basico), sono ben visibili alla radiografia. Per la formazione deicalcoli di struvite nel cane, la sovrasaturazione dell’urina da parte degli ioni di magnesio ammoniofosfato è considerato un fattore di rischio importante. In questo ultimo caso il ridotto volume urinario è un elemento di fondamentale importanza nel favorire l’aggregazione di cristalli. Cani che mangiano prevalentemente cibo secco e bevono poco, non diluiscono a sufficienza le urine,facilitando la sovrasaturazione di queste con ioni di varia natura.
Stessa cosa succede quando nell’alimentazione quotidiana è presente un eccessivo apporto di proteine in quanto aumentano la concentrazione di urea e fosforo nelle urine, che si arricchiscono di questi ioni facilitandol’aggregazione di cristalli.Un altro fattore importante che può determinare la comparsa di calcoli di struvite nel cane sono le infezioni batteriche ricorrenti della vescica. Alcuni batteri sono in grado di degradare l’urea in ammonio e di portare il PH urinario verso la basicità. Un lieve aumento della concentrazione diammonio e ioni bicarbonato infatti si traduce in una marcata alcalinizzazione dell’urina (diventa più basica rispetto al suo solito PH lievemente acido pari a 6,5), predisponendo alla formazione di cristalli struvite.
Come appena detto il pH urinario è considerato uno dei presupposti per la formazione di calcoli distruvite nel cane: infatti un valore di pH superiore a 7,0 (basico) e l’elevata concentrazione di ammonio, magnesio, calcio e fosfato sono tutti fattori che concorrono alla formazione di cristalli di struvite. Quando i batteri proliferano a livello vescicale o anche a livello del bacinetto renale iniziano a determinare la produzione di questi cristalli, inoltre l’infiammazione della parete dell’organo può determina la liberazione di una sostanza mucoide, che piano piano fa da collantenei confronti dei cristalli, determinando la formazione di un calcolo di dimensioni sempre maggiori.Batteri—> pH basico urinario—-> aggregazione di cristalli di struvite

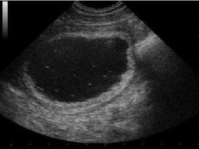
compatibile con una cistite, e la presenza di cristalli in sospensione visibili come dei puntini più
bianchi (iperecogeni), immersi nell’urina di colore nero (anaecogena).
Calcoli da ossalato di calcio
Sono i calcoli più frequenti nei cani di piccola taglia. Non sono dipendenti dal PH urinario. Radiograficamente sono tra i calcoli più visibili. Nel 90% dei casi sono stati riscontrati in soggetti di sesso maschile, prevalentemente di età superiore ai 6 anni (Hesse et al., 1998). I soggetti che formano calcoli mostrano concentrazioni di calcio nell’urina significativamente più elevate rispetto aquelli sani, con livelli più bassi di citrato e alti di magnesio.
Come abbiamo detto anche per i calcoli di struvite nel cane, un cibo secco ed uno scarso apporto idrico favoriscono il ristagno delle urine in vescica facilitando l’aggregazione dei cristalli. Oltre all’età avanzata, al sesso e alla razza,alcune patologie metaboliche possono essere responsabili della comparsa di calcoli di ossalato dicalcio come: Ipercalcemia ( Iperparatiroidismo), Iperadrenocorticismo e Acidosi metabolica cronica. La dieta costituisce un fattore importante: L’assunzione di elevate quantità di proteine in questo caso, favorisce la trasformazione di queste a livello epatico in ossalati. Anche uno scarso apportodi magnesio nella dieta sembra implicato nella formazione di tali calcoli. Inoltre secondo gli ultimi studi, un lieve apporto di sodio nella dieta può aiutare nel favorire una maggior assunzione di acqua e quindi a diluire di più le urine
Calcoli di Urato
Questa tipologia di calcolo è scarsamente influenzata dal PH urinario. Infatti spesso compare a PH neutro o tendenzialmente acido.Tra le varie tipologie di calcolo, insieme a quelli di xantina sono tra i più difficili da individuare tramite radiografia, a causa della loro radiotrasparenza. I cani di razza Dalmata e Bulldog inglese sembra siano coinvolti nellatrasmissione genetica di alcuni caratteri che comportano una deficienza dell’enzima uricasi, cheserve a degradare l ‘acido urico ottenuto dalle proteine introdotte con la dieta e trasformarlo in un prodotto solubile (allantoina) che viene così eliminata con le urine.
Essendo presente questa carenza dell’enzima, l’acido urico passa direttamente nelle urine, e può portare alla formazione di calcoli di urato di ammonio. Non si capisce ancora perché i cani maschi siano molto più predisposti rispetto alle femmine. L’età media di comparsa è di 4 anni. Altri casi in cui possiamo ritrovare questo tipo di cristalli nelle urine riguardano alterazioni del metabolismo epatico ed insufficienza epatica, shunt porto-sistemici congeniti o acquisiti.
Calcoli di Xantina
Nel cane la forma più conosciuta e frequente di calcoli di xantina è in corso di terapia con Allopurinolo, farmaco conosciuto per il trattamento della Leishmania. La diagnosi di questo tipo di calcolo si fa tramite la valutazione del sedimento urinario ed il riconoscimento della tipologia di cristallo al microscopio ottico. Già solo macroscopicamente il sedimento urinario è estremamente indicativo della patologia, dato il colore giallo caratteristico, come nell’immagine, Radiograficamente purtroppo non sono evidenziabili.

Calcoli di Cistina
Sono più rari e legati ad un difetto genetico che impedisce il corretto riassorbimento di cistina, che viene quindi persa con le urine e può formare calcoli urinari. Anche questi tendono a comprarire con PH neutro o tendenzialmente acido, e sono scarsamente visibili radiograficamente.
Struvite nei Cani: Sintomi
La presenza di cristalli di struvite nel cane (come anche quella di altri cristalli), può essere del tutto asintomatica. Il problema inizia a comparire quando questi si aggregano formando dei calcoli che possono accidentalmente finire nell’uretra ostruendo il deflusso urinario. Il sintomo principale in tal caso sarà la mancata urinazione. L’animale potrebbe assumere spesso la posizione della minzione senza urinare, mostrarsi irrequieto e chiedere di uscire con maggiore frequenza all’esterno. Bisogna fare attenzione a non confondere questo atteggiamento con una cistite, in cuil’animale emette con frequenza poca urina, a volte a gocce, e la vescica è sempre vuota.
Quindi se si ha il sospetto di una ostruzione delle vie urinarie occorre osservare con attenzione l’atteggiamento dell’animale e la quantità di urina emessa. Sarebbe opportuno recarsi in entrambe i casi da un veterinario, sia perchè potrà discriminare le due cose con precisione e sia perchè in entrambe i casi sarà necessario stabilire una terapia adeguata

Terapia Struvite Cane
Ovviamente se il problema principale è quello dell’ostruzione al deflusso dell’urina, il primo intervento sarà quello di disostruire l’animale tramite cateterizzazione ed idropulsione, rimandando il calcolo che si era bloccato nell’uretra in vescica. Una volta arrivato in vescica si potrà pensare alla dissoluzione medica oppure alla rimozione chirurgica mediante cistotomia ( apertura della vescica).
Questa scelta dipende molto dalla composizione del calcolo, perchè come abbiamo già detto un calcolo di struvite potrebbe dissolversi anche solo con terapia medica, mentre un calcolo di ossalato di calcio richiede la rimozione chirurgica. Una volta aggirato questo problema occorrerà valutare la tipologia di terapia da impostare. Come abbiamo detto sopra, i calcoli di struvite nel cane possono spesso essere la conseguenza di infezioni batteriche ricorrenti della vescica, ed in questo caso richiedono pertanto un trattamento antibiotico associato a terapia calcolo litica ed a dieta specifica. Il trattamento antibiotico deve continuare fino a che gli uroliti non sono più evidenziabili tramite radiografia, dato che all’interno dei calcoli possono rimanere dei batteri vitali. Inoltre l’urina deve risultare sterile nel corso di ripetuti esami colturali.Oltre al trattamento antibiotico la terapia per la dissoluzione dei calcoli di struvite nel cane,spesso vede l’aggiunta di prodotti in compresse contenenti Metionina e Ammonio cloruro, ovvero acidificanti urinari, che velocizzano il processo di dissoluzione dei calcoli.
I calcoli di struvite sterili (non legati ad infezione batterica), che nel cane sono molto più rari, non richiedono l’uso di antibiotici, ma soltanto di una dieta per acidificare le urine ed eventualmente difarmaci per facilitare tale processo. Tale discriminazione sull’utilizzo o meno dell’antibiotico terapia,verrà determinata dall’esame di laboratorio delle urine ed eventualmente dal successivo antibiogramma
In entrambe i casi aumentare la diuresi ed indurre l’animale a bere di più, può aiutare in tutti i casi a ridurre l’aggregazione dei cristalli di struvite e quindi la formazione di calcoli nelle vie urinarie. Questo si può ottenere aumentando l’acqua nell’alimento o aggiungendo una minima quantità di cloruro di sodio. Modificare il ph delle urine può essere utile per alcuni tipi di calcolo, come nel caso della struvite,degli urati o della cistina, ma non ha alcun senso nel caso in cui siano presenti altri tipi di calcolo come quelli di xantina e di ossalato di calcio che sono indipendenti dal ph urinario
Struvite Dieta
Le diete disponibili ad oggi in commercio per promuovere la dissoluzione di calcoli di struvite nel cane, sono povere in proteine e fibre (per ridurre la perdita idrica con le feci), con una quota maggiore di sale, ridotte quantità di fosforo e magnesio e con l’aggiunta di sostanze acidificanti. Le proteine vengono ridotte per abbassare la quantità di substrato (urea) disponibile nell’urina per i batteri ureasi-produttori. La dieta dovrà essere continuata fino alla totale dissoluzione dei calcoli di struvite nel cane e anche per tutto il mese successivo alla risoluzione del problema, per evitare il rischio di recidive. Sarà opportuno durante il trattamento monitorare il paziente mediante ulteriore analisi delle urine e controllo radiografico della dissoluzione del calcolo. Generalmente la dissoluzione dei calcoli di struvite nel cane, con una dieta corretta, richiede almeno 3 mesi, male tempistiche dipendono molto dalla dimensione di questi ultimi.

Cristalli di struvite nel cane alimentazione
Per la dissoluzione dei cristalli di struvite nel cane l’alimentazione è un elemento essenziale. E’ assolutamente consigliato utilizzare prodotti commerciali appositi che saranno impoveriti di alcuni minerali ed arricchiti di sostanze acidificanti. I prodotti adatti alla gestione della struvite nel cane sono tutti gli alimenti Urinary, sia secco che umido (Monge, Vet Life, Hill’s, Royal Canin….). Questi ovviamente non andranno utilizzati per sempre, ma solo fino alla risoluzione del problema.
Acidificanti urinari cane
In commercio esistono vari prodotti da utilizzare come acidificanti urinari nel cane, che agiscono molto bene per la dissoluzione dei calcoli di struvite. Essendo un acidificante non va utilizzato nei soggetti con insufficienza renale o insufficienza epatica, che già soffrono di acidosi metabolica.Inoltre spesso nel caso della struvite del cane è sufficiente una dieta corretta ed una terapia antibiotica per la dissoluzione dei calcoli. Comunque questi acidificanti urinari per il cane si compongono di Metionina e Ammonio cloruro e agiscono creando un ambiente urinario sfavorevole alla precipitazione di sali alcalini ed alla moltiplicazione batterica, favorendo la dissoluzione dei calcoli già formati
Alimentazione naturale cane con struvite
Quando dalle analisi delle urine viene fatta diagnosi di struvite nel cane, come abbiamo detto in precedenza, i due elementi fondamentali sono la dieta e se presente sovracrescita batterica un’antibioticoterapia. Le diete calcololitiche in commercio sono volte ad acidificare e ridurre le concentrazioni urinarie di urea, fosforo e magnesio, quindi essendo formulate appositamente e costituendo un alimento dietetico completo, si consiglia strettamente il loro utilizzo nei mesi necessari alla dissoluzione del calcolo di struvite. Se si vuole a tutti costi effettuare una dieta casalinga occorrerà ridurre il tenore di proteine nella dieta ed utilizzare degli acidificanti urinari per cane in compresse.
Inoltre l’aggiunta di piccole quantità di Cloruro di Sodio nella dieta aiuterà il nostro cane ad assumere più acqua e a diluire maggiormente le urine. Ovviamente l’utilizzo di un’acqua con residuo fisso basso potrà aiutare per prevenire la formazione di qualsiasi tipologia di calcolo.
Erba spaccapietra cani
Il nome botanico dell’erba spaccapietra è Ceterach Officinarum, conosciuta fin dall’antichità per lesue capacità diuretiche e di dissoluzione dei calcoli delle vie urinarie. Nell’uomo si è dimostrata di grande aiuto sia per la prevenzione che per l’eliminazione di renella e calcoli. Negli animali non viene ancora utilizzata forse perchè poco conosciuta e perchè non si sono effettuati studi sulla reale efficacia di tale sostanza. Tuttavia l’utilizzo dell’erba spaccapietra nel cane non vedecontroindicazioni, ed essendo un prodotto naturale può essere di grande aiuto come coadiuvante di una terapia medica correttamente impostata. Può essere sicuramente impiegata da sola per la prevenzione nei soggetti predisposti.


